Назальные капли от опухоли не помогли

ЛОР-врачи Ростовской областной клинической больницы удалили из полости носа опухоль размером с киндер-сюрприз.

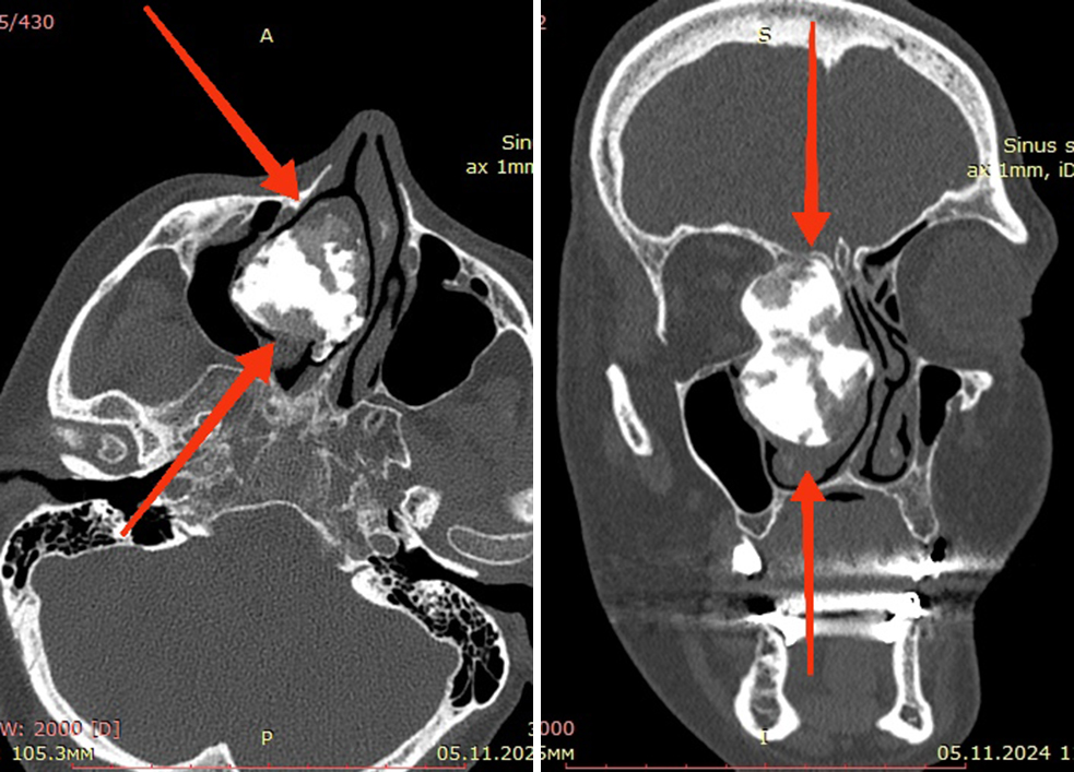
ЛОР-врачи Ростовской областной клинической больницы удалили из полости носа опухоль размером с киндер-сюрприз. При этом операция что называется не оставила следа –вмешательство было проведено через нос с помощью продвинутых видеоэндоскопических технологий. До этого момента 59-летняя жительница Аксайского района около двух лет пыталась избавиться от затрудненного носового дыхания с помощью различных капель.

За медпомощью женщина обратилась только после того, как у нее появились лицевые боли и стало исчезать обоняние. Томография позволила неврологу по месту жительства предположить развитие необычайно большой, но доброкачественной опухоли костной ткани – остеомы. Она росла в правой половине носа, раздвигая его стенки и распространяясь в орбиту глаза и лобную пазуху. В результате существенно сместилась не только носовая перегородка, но и стенка верхнечелюстной пазухи.

Пациентку направили для хирургического лечения в Ростовскую областную клиническую больницу. До сих пор это единственная на Дону площадка, где проводят малотравматичное эндоназальное удаление остеом.

– Несмотря на сложнейшее, почти 6-часовое вмешательство, кажется, что больше сил у нас отнял период восстановления, – рассказывает оперировавший пациентку врач Оториноларингологического отделения РОКБ Максим Лапин . – Сопутствующие заболевания сильно осложнили этот этап, к работе подключились специалисты других профилей.

Свою роль в успехе оперативного лечения сыграло и инновационное видеоэндоскопическое оборудование, которое появилось в РОКБ в рамках реализации региональной госпрограммы «Развитие здравоохранения». Чтобы безопасно разделить и извлечь по частям такую крупную опухоль, хирургам пригодился буквально весь имеющийся в их распоряжении инструментарий.

Стоит отметить, что различные видеоэндоскопические технологии лечения ЛОР-органов в рутинную практику РОКБ настойчиво внедряются уже более 10 лет. На сегодня врачи Оториноларингологического отделения больницы проводят до 80% всех эндоскопических операций в регионе, главным образом, для лечения наиболее сложных заболеваний и патологий.

Последние новости

В Канаде медведь откусил охотнику часть головы, но мужчина выжил и дал хищнику отпор: новости 27 октября

Что произошло за сутки Каждый день в мире происходит множество событий, уследить за которыми в новостном потоке просто невозможно.

Cостоялось заседание земельно-градостроительной комиссии Ростовской области по рассмотрению заявления ООО «СЗ «ПроектС-23»

23.10.2025 в 16:00 состоялось заседание земельно-градостроительной комиссии Ростовской области по рассмотрению заявления ООО «СЗ «ПроектС-23» о внесении изменений в показатели масштабного инвестиционного проекта в сфере

Губернатор Ростовской области объявил проверку УК после жалоб на холод в домах

Глава региона пригрозил должностями руководителям, допустившим сбои в теплоснабжении накануне холодов Губернатор Ростовской области Юрий Слюсарь поручил начать масштабную проверку деятельности управляющих компаний (УК

Когда скидки превращаются в ловушку: как маркетологи учат нас тратить

Почему “-50% только сегодня” не всегда значит выгоду, как скидки играют на эмоциях и почему даже рациональные люди становятся жертвами маркетинговых трюков.

На этом сайте вы найдете актуальные вакансии в Раменском с предложениями работы от ведущих работодателей города

Комментарии (0)

Добавить комментарий

Ваш email не публикуется. Обязательные поля отмечены *